Table of Contents
« prev
next »
Washington University Experience
|
BASIC PROCESSES
|
Arachnoid Fibrohyaline Plaques
|
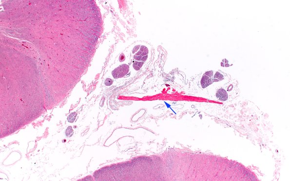
9A1 Fibrohyaline plaque (Case 9) N11 H&E 2X copy
This fibrohyaline plaque is located in the arachnoid in the spinal cord. (H&E)
Image Info
Camera Maker:
Olympus
Camera Model:
DP74 #1
Shutter Speed:
13/50000 sec
Metering Mode:
Average
Gallery RSS
|
Archive View
|
Login
|
Powered by
Zenphoto