Table of Contents
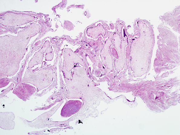
Washington University Experience | BASIC PROCESSES | Arachnoid villi - granulations | 15A1 Arachnoid granulations (Case 15) H&E 1
15A1,2 Numerous arachnoid villi are surrounded by arachnoidal cap cells, seen at higher magnification (#15A2) (H&E)
