Table of Contents
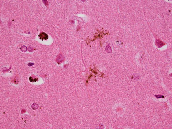
Washington University Experience | BASIC PROCESSES | Artifacts | Artifact - Formalin Pigment | 1A3 Artifact, formalin pigment (Case 3) H&E 7
Some of the material deposited here is not clearly associated with individual cells. (H&E)
