Table of Contents



Washington University Experience | BASIC PROCESSES | Artifacts | Artifact - Formalin Pigment | 2 Artifact, formalin pigment 1 (Case 4) N9 H&E 2

2 Artifact, formalin pigment 1 (Case 4)  N9 H&E 2
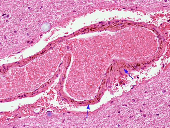
In this case formalin pigment is distributed in vascular walls (arrow). (H&E)


Gallery RSS RSS Feed | Archive View | Login | Powered by Zenphoto