Table of Contents
« prev
next »
Washington University Experience
|
BASIC PROCESSES
|
Artifacts
|
Artifact - Swiss Cheese Brain
|
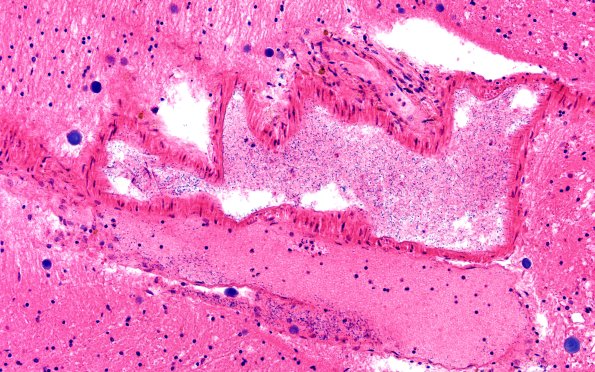
34B5 Swiss Cheese Brain (Case 12) 20X 1
34B5,6 These bacteria appear to be bacilli. (H&E)
Image Info
Camera Maker:
Olympus
Camera Model:
DP74
Shutter Speed:
41/29927 sec
Metering Mode:
Multi-Spot
Gallery RSS
|
Archive View
|
Login
|
Powered by
Zenphoto