Table of Contents
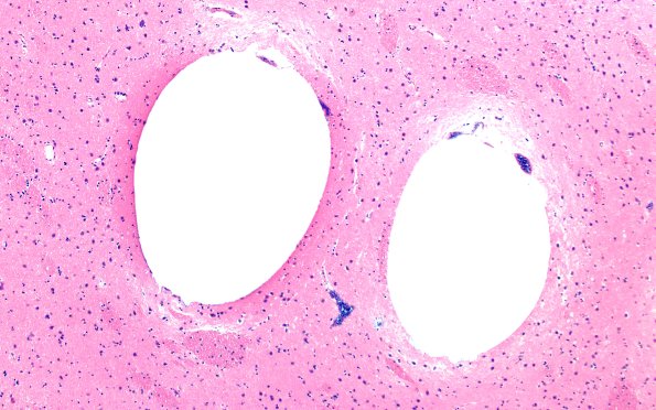
Washington University Experience | BASIC PROCESSES | Artifacts | Artifact - Swiss Cheese Brain | 34B7A Swiss Cheese Brain (Case 12) N13 10X 1
34B7A-D Several magnifications of a typical cystic lesion show typical bacteria within the adjacent vasculature. (H&E)
