Table of Contents
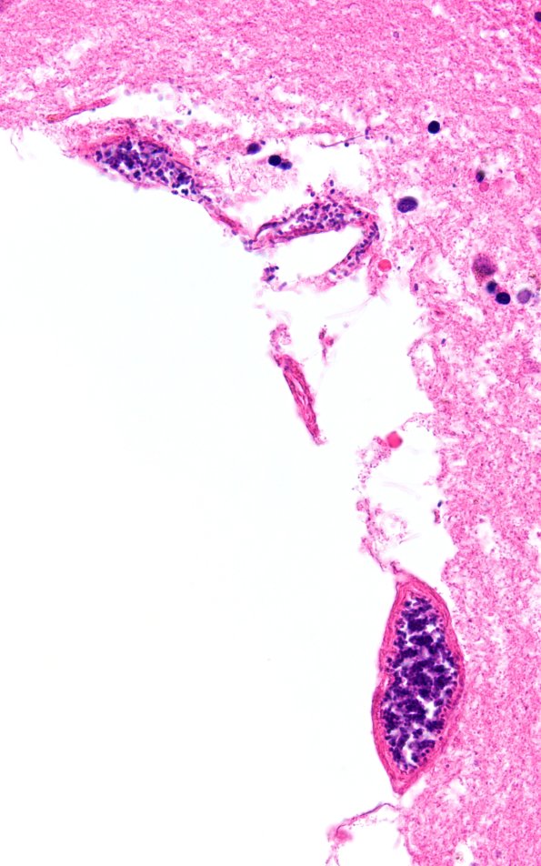
Washington University Experience | BASIC PROCESSES | Artifacts | Artifact - Swiss Cheese Brain | 34B7D Swiss Cheese Brain (Case 12) N13 60X 2A
Several magnifications of a typical cystic lesion show typical bacteria within the adjacent vasculature. (H&E)
