Table of Contents
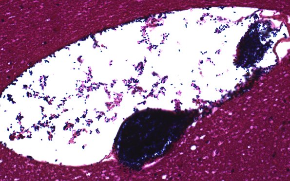
Washington University Experience | BASIC PROCESSES | Artifacts | Artifact - Swiss Cheese Brain | 34C1A Swiss Cheese Brain (Case 12) Gram Best 40X
34C1A,B This Gram stain shows Gram positive cocci, which outnumber bacillary forms. (Gram)
