Table of Contents
« prev
next »
Washington University Experience
|
BASIC PROCESSES
|
Artifacts
|
Artifact - Swiss Cheese Brain
|
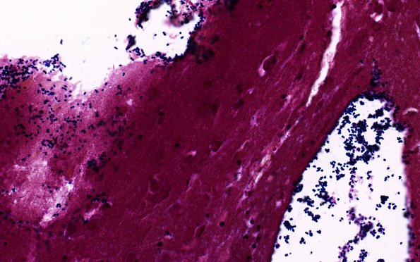
34C2B Swiss Cheese Brain (Case 12) Gram 40X 7
Bacteria are found in the vasculature and at the margins of the cysts. (Gram)
Image Info
Camera Maker:
Olympus
Camera Model:
DP74
Shutter Speed:
30/5597 sec
Metering Mode:
Multi-Spot
Gallery RSS
|
Archive View
|
Login
|
Powered by
Zenphoto