Table of Contents
« prev
next »
Washington University Experience
|
BASIC PROCESSES
|
Artifacts
|
Artifact - Swiss Cheese Brain
|
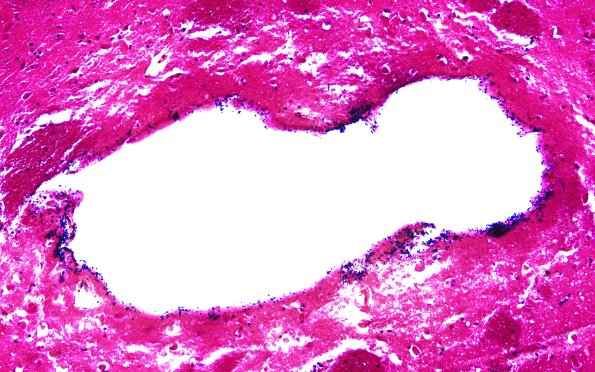
34C3A Swiss Cheese Brain (Case 12) Gram 20X 2
34C3A,B Numerous bacteria occupy the walls of the cavity. (Gram)
Image Info
Camera Maker:
Olympus
Camera Model:
DP74
Shutter Speed:
1/200 sec
Metering Mode:
Multi-Spot
Gallery RSS
|
Archive View
|
Login
|
Powered by
Zenphoto