Table of Contents
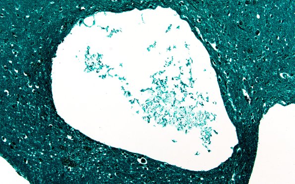
Washington University Experience | BASIC PROCESSES | Artifacts | Artifact - Swiss Cheese Brain | 34D1A Swiss Cheese Brain (Case 12) GMS 20X 2
34D1,2 Although GMS stain is typically used for fungal organisms, it labels bacteria as well. (GMS)
