Table of Contents
Washington University Experience | BASIC PROCESSES | Artifacts | Toothpaste | 6B3 Artifact, toothpaste (Case 6) N15 H&E 20X 1
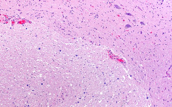
The junction of the toothpaste artifact and adjacent normal brain fails to show significant intrinsic cord pathology. Instead disorganized normal cord elements are demonstrated. (H&E)
