Table of Contents
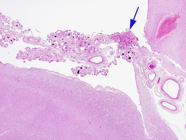
Washington University Experience | BASIC PROCESSES | Astrocytes & Astrocytosis | Astrocytes, EGBs & Rosenthal fibers | 6A1 Astrocyte, Rosenthal fibers, H&E 1 (Case 17) root of choroid plexus 1
Root of the choroid plexus attachment (arrow) to the underlying brain parenchyma often shows a collection of Rosenthal fibers. (H&E)
