Table of Contents
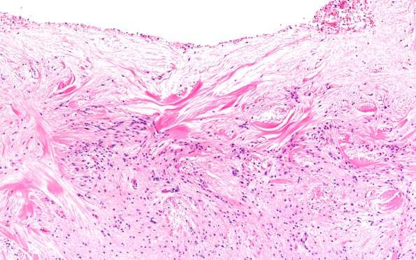
Washington University Experience | BASIC PROCESSES | Astrocytes & Astrocytosis | Astrocytosis | 11A3 Cerebral Palsy (Case 23) 10X H&E 2 better
Higher magnification of the walls of the lateral ventricle in this patient showing "wheat sheaving" reflecting astrocytosis. (H&E)
