Table of Contents
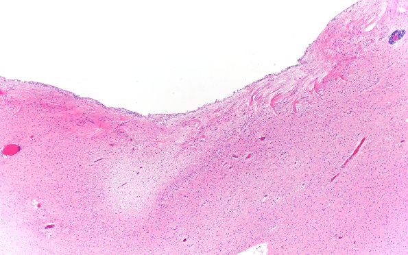
Washington University Experience | BASIC PROCESSES | Astrocytes & Astrocytosis | Astrocytosis | 11A4 Cerebral Palsy (Case 23) H&E 4X 2
A second site in the periventricular region of this patient showing prominent astrocytosis and wheat sheaving. Much of the ependymal lining of the ventricle has been lost. (H&E)
