Table of Contents
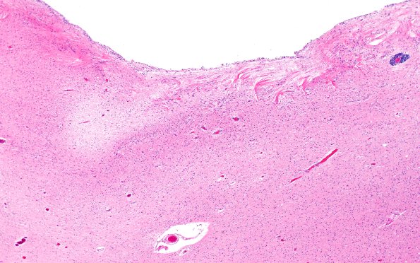
Washington University Experience | BASIC PROCESSES | Astrocytes & Astrocytosis | Astrocytosis | 11A5 Cerebral Palsy (Case 23) H&E 4X
A second site in the periventricular region of this patient showing prominent astrocytosis and wheat sheaving.
