Table of Contents
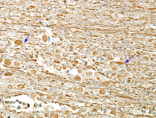
Washington University Experience | BASIC PROCESSES | Axonal Spheroids | 1B3 Axon, Spheroids, pontine microinfarct (Case 2) NF 3
A longitudinal section demonstrates numerous axonal swellings (spheroids) some arising from parent axons of more normal dimensions (arrows, NF IHC)
