Table of Contents
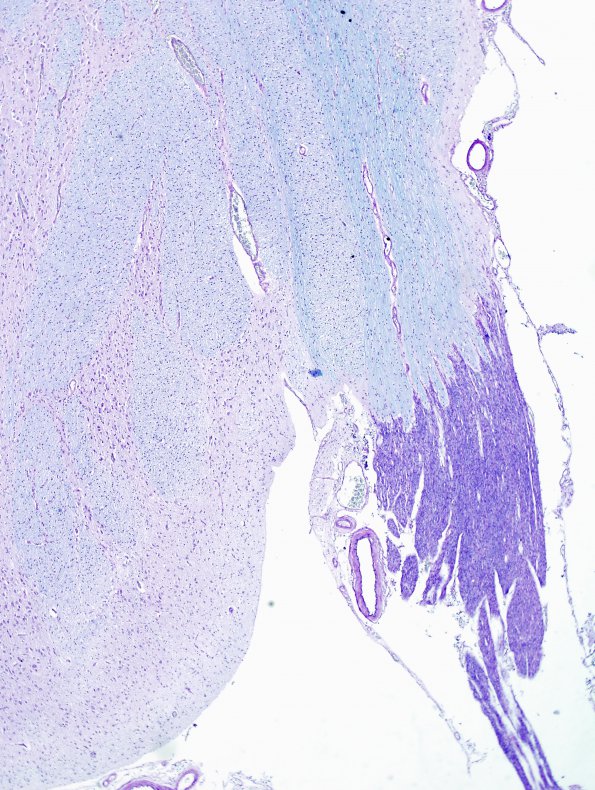
Washington University Experience | BASIC PROCESSES | CNS-PNS Junction | 2B2 Brainstem, neonate, V Nerve (Case 2) LFB-PAS 2A
Although the amount of central myelin is limited in this immature brain, there is a clear separation of central light blue green oligodendroglial myelin from the robustly stained purple PNS component. (LFB-PAS)
