Table of Contents



Washington University Experience | BASIC PROCESSES | CNS-PNS Junction | 2C3 Brainstem, neonate, V Nerve (Case 2) GFAP 2

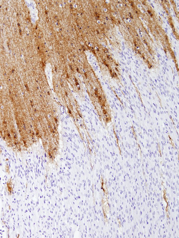
2C3 Brainstem, neonate, V Nerve (Case 2)  GFAP 2
The precise transition zone from CNS to PNS is shown (GFAP IHC)


Gallery RSS RSS Feed | Archive View | Login | Powered by Zenphoto