Table of Contents
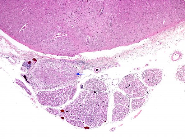
Washington University Experience | BASIC PROCESSES | CNS-PNS Junction | 4B1 Root entry zone (Obersteiner-Redlich zone, Case 4) H&E 4XA
The junction of the spinal root with the cord often involves a protrusion of CNS tissue into the adjacent root ("a glial dome", arrow) (H&E)
