Table of Contents
« prev
next »
Washington University Experience
|
BASIC PROCESSES
|
CNS-PNS Junction
|
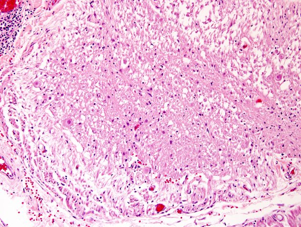
4C1 Root entry zone (Obersteiner-Redlich zone, Case 4) H&E 20XA
Higher magnification of the glial dome stained with H&E.
Image Info
Camera Maker:
Olympus Corporation
Camera Model:
DP70
Original Time Taken:
05-09-2016
Shutter Speed:
1/1200 sec
ISO Sensitivity:
200
Metering Mode:
Spot
Gallery RSS
|
Archive View
|
Login
|
Powered by
Zenphoto