Table of Contents
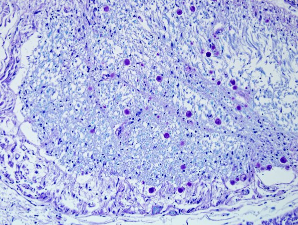
Washington University Experience | BASIC PROCESSES | CNS-PNS Junction | 4C2 Root entry zone (Obersteiner-Redlich zone, Case 4) LFB-PAS 20XA
The majority of this CNS zone involves oligodendroglial myelin with a small rim contributed by the PNS (LFB-PAS)
