Table of Contents
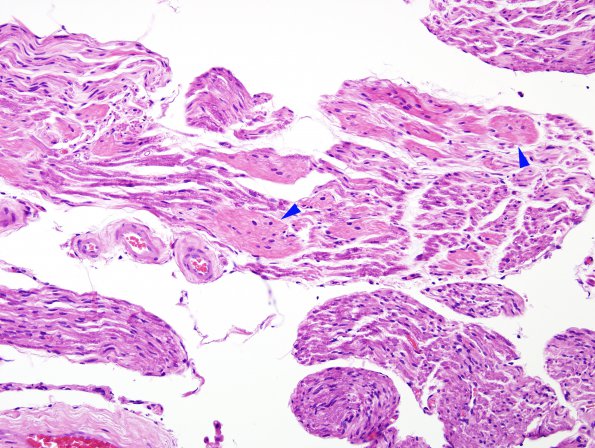
Washington University Experience | BASIC PROCESSES | CNS-PNS Junction | 5A2 Obersteiner-Redlich Zone XII nerve (Case 5) H&E 2 copy
5A2 Longitudinal section of the XII nerve near the juncture with the surface of the medulla shows CNS islands (arrowheads) admixed with elements of the PNS portion of the nerve (H&E)
