Table of Contents
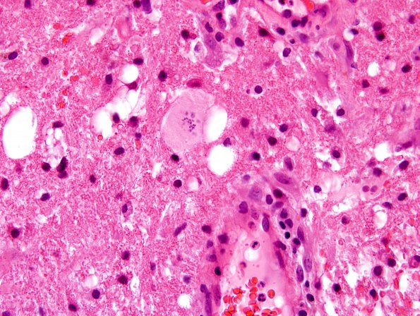
Washington University Experience | BASIC PROCESSES | Creutzfeldt Cells & Granular Mitoses | 2A2 Creutzfeldt Cell with some granular mitoses in same cell (Case 3) H&E 1
This image shows a Creutzfeldt cell with some admixed granular mitoses in the same cell (H&E).
