Table of Contents
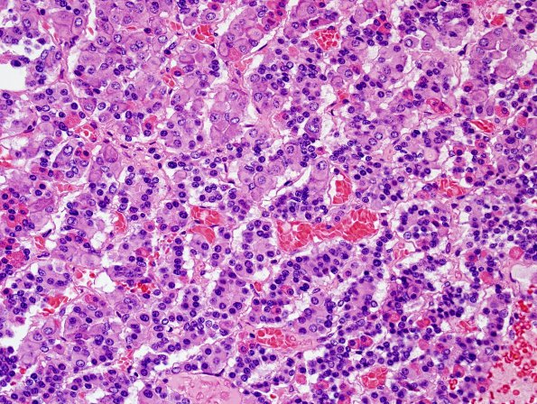
Washington University Experience | BASIC PROCESSES | Crooke's Hyaline Change | 4A1 Empty Sella Syndrome (Case 4) Crooke's change H&E 6
4A1-8 This 6 year old patient died from respiratory insufficiency secondary to chronic interstitial lung disease, for which she received chronic prednisone therapy, with superimposed diffuse acute bronchopneumonia.
