Table of Contents
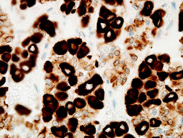
Washington University Experience | BASIC PROCESSES | Crooke's Hyaline Change | 4A7 Empty Sella Syndrome (Case 4) Crooke's change 100X PanCK 2
Higher magnification of Crooke's change involving (non-neoplastic) pituitary basophils
