Table of Contents
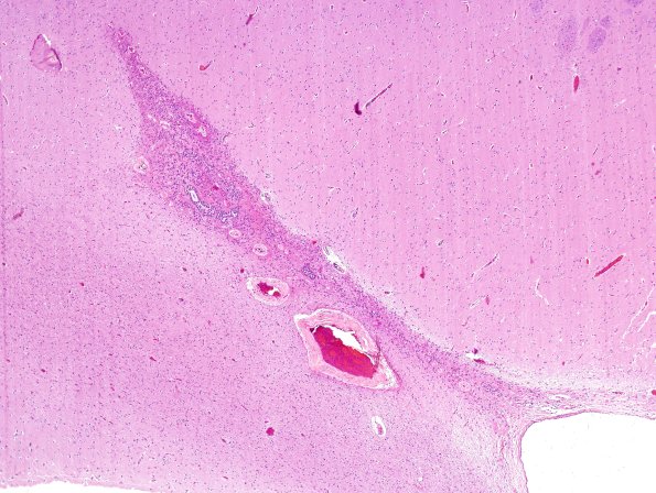
Washington University Experience | BASIC PROCESSES | Ependymal Fusion Seam | 10A1-Ependymal-seam-Case-17-H-E-1.jpg
10A1,2 It continues to surprise me how abnormal the ependymal seam can be, especially the microvasculature. (H&E)
