Table of Contents
« prev
next »
Washington University Experience
|
BASIC PROCESSES
|
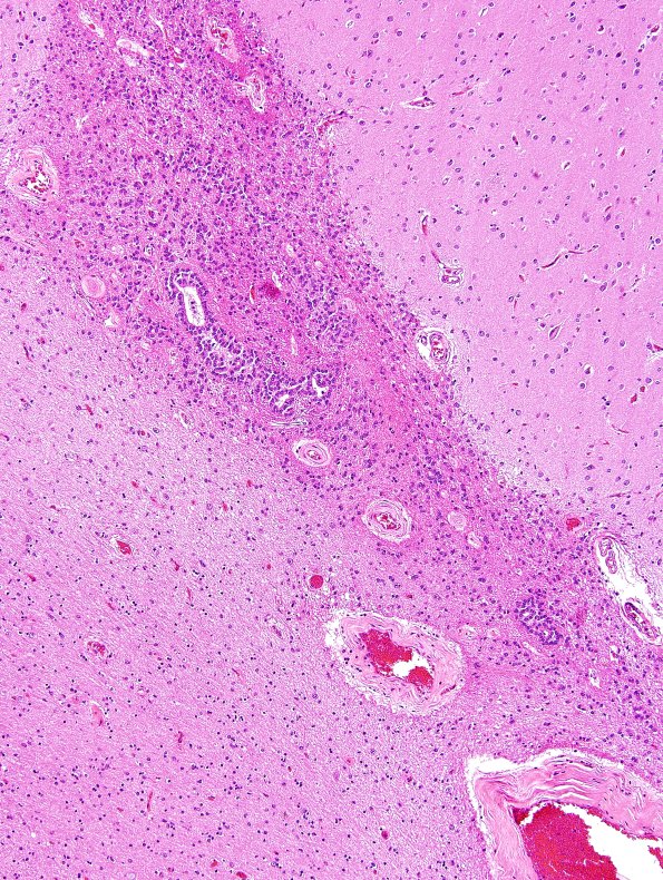
Ependymal Fusion Seam
|
10A2-Ependymal-seam-Case-17-H-E-3.jpg
Higher magnification of image #10A1. (H&E)
Image Info
Camera Maker:
Olympus Corporation
Camera Model:
DP70
Original Time Taken:
11-08-2014
Shutter Speed:
1/480 sec
ISO Sensitivity:
200
Metering Mode:
Spot
Gallery RSS
|
Archive View
|
Login
|
Powered by
Zenphoto