Table of Contents
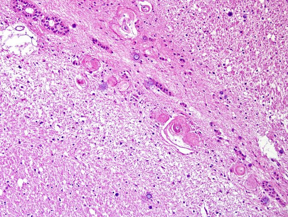
Washington University Experience | BASIC PROCESSES | Ependymal Fusion Seam | 11A3-Occipital-Seam-AD-DLBD-Case-18-H-E-2.jpg
This image and the following are progressive increases in the magnification, better showing the constituent elements. (H&E)
