Table of Contents
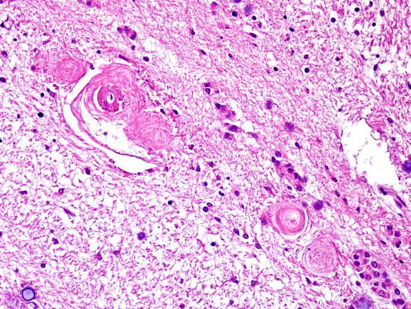
Washington University Experience | BASIC PROCESSES | Ependymal Fusion Seam | 11A4-Occipital-Seam-AD-DLBD-Case-18-H-E-1.jpg
This image and the following are progressive increases in the magnification, better showing the constituent elements. (H&E)
