Table of Contents
« prev
next »
Washington University Experience
|
BASIC PROCESSES
|
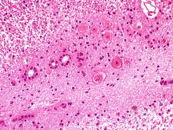
Ependymal Fusion Seam
|
13A4-Periventricular-Seam-Case-20-N5-occipital-H-E-4.jpg
Progressive increase in magnification illustrates the constituent elements. (H&E)
Image Info
Camera Maker:
Olympus Corporation
Camera Model:
DP70
Original Time Taken:
07-07-2015
Shutter Speed:
1/161 sec
ISO Sensitivity:
200
Metering Mode:
Spot
Gallery RSS
|
Archive View
|
Login
|
Powered by
Zenphoto