Table of Contents
« prev
next »
Washington University Experience
|
BASIC PROCESSES
|
Ependymal Fusion Seam
|
14B Seam-Dementia-multi-infarct-Case-21-N5-Biels-1.jpg
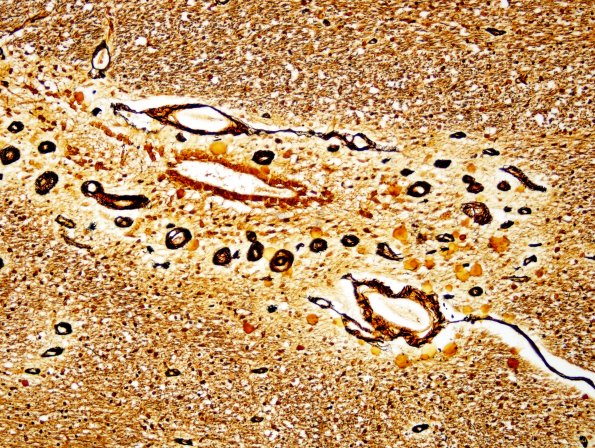
The microvasculature often stain strongly with a Bielschowsky silver stain.
Image Info
Camera Maker:
Olympus Corporation
Camera Model:
DP70
Original Time Taken:
14-09-2016
Shutter Speed:
1/1000 sec
ISO Sensitivity:
200
Metering Mode:
Spot
Gallery RSS
|
Archive View
|
Login
|
Powered by
Zenphoto