Table of Contents
« prev
next »
Washington University Experience
|
BASIC PROCESSES
|
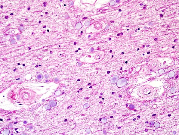
Ependymal Fusion Seam
|
16A5-Periventricular-Seam-occipital-lobe-Case-23-H-E-7.jpg
Multiple magnifications of this occipital fusion seam. (H&E)
Image Info
Camera Maker:
Olympus Corporation
Camera Model:
DP70
Original Time Taken:
06-07-2015
Shutter Speed:
1/135 sec
ISO Sensitivity:
200
Metering Mode:
Spot
Gallery RSS
|
Archive View
|
Login
|
Powered by
Zenphoto