Table of Contents
« prev
next »
Washington University Experience
|
BASIC PROCESSES
|
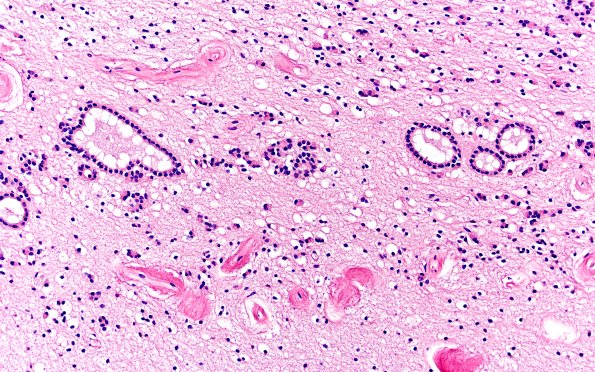
Ependymal Fusion Seam
|
8A3 Ependymal Seam (Case 10) N5 H&E 20X A
Higher magnification of image #8A1
Image Info
Camera Maker:
Olympus
Camera Model:
DP74
Shutter Speed:
23/20354 sec
Metering Mode:
Multi-Spot
Gallery RSS
|
Archive View
|
Login
|
Powered by
Zenphoto