Table of Contents
« prev
next »
Washington University Experience
|
BASIC PROCESSES
|
Ependymal Fusion Seam
|
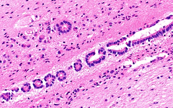
9A5 Ependymal Seam (Case 11) H&E N11 40X 2
Higher magnification of image #9A4. (H&E)
Image Info
Camera Maker:
Olympus
Camera Model:
DP74
Shutter Speed:
1/200 sec
Metering Mode:
Multi-Spot
Gallery RSS
|
Archive View
|
Login
|
Powered by
Zenphoto