Table of Contents
« prev
next »
Washington University Experience
|
BASIC PROCESSES
|
Microglia
|
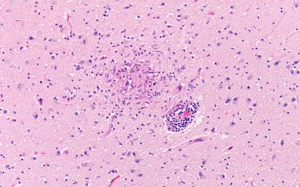
11A1 Microglia (Case 11) H&E N4 20X
11A1,2 Hyperplastic microglia (rod cells), lymphocytes and macrophages (H&E).
Image Info
Camera Maker:
Olympus
Camera Model:
DP74
Shutter Speed:
23/20354 sec
Metering Mode:
Multi-Spot
Gallery RSS
|
Archive View
|
Login
|
Powered by
Zenphoto