Table of Contents



Washington University Experience | BASIC PROCESSES | Neuroaxonal dystrophy | 18C2 Aged Rat Gracile NAD_018 - Copy

18C2 Aged Rat Gracile NAD_018 - Copy
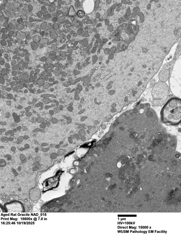
Higher magnification of the two elements of image #18C1 showing their different contents. (electron micrograph)


Gallery RSS RSS Feed | Archive View | Login | Powered by Zenphoto