Table of Contents
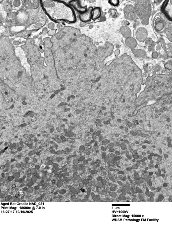
Washington University Experience | BASIC PROCESSES | Neuroaxonal dystrophy | 18C3 Aged Rat Gracile NAD_021 - Copy
Note the unusual fluted margin of the dystrophic axon which is not spherical as are typical axonal spheroids. (electron micrograph)
