Table of Contents
Washington University Experience | BASIC PROCESSES | Neuroaxonal dystrophy | 18C4 Aged Rat Gracile NAD_027 - Copy copy
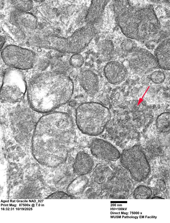
The central collection of organelles is composed of mitochondria and autophagosomes with occasional collections of tubulovesicular elements (arrow). (electron micrograph)
