Table of Contents



Washington University Experience | BASIC PROCESSES | Neuroaxonal dystrophy | 18N Aged Rat Gracile NAD_145 - Copy

18N Aged Rat Gracile NAD_145 - Copy
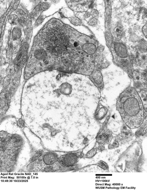
This synapse has a small presynaptic element containing tubulovesicular elements. (electron micrograph)


Gallery RSS RSS Feed | Archive View | Login | Powered by Zenphoto