Table of Contents
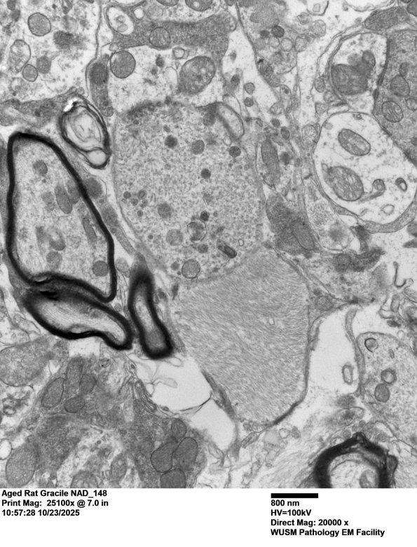
Washington University Experience | BASIC PROCESSES | Neuroaxonal dystrophy | 18O1 Aged Rat Gracile NAD_148 - Copy
18O1,2 A small dystrophic terminal with synapses exhibiting synaptic vesicles and a postsynaptic density. (electron micrographs)
