Table of Contents
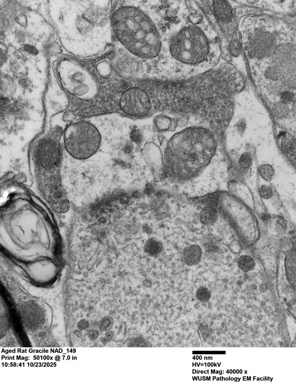
Washington University Experience | BASIC PROCESSES | Neuroaxonal dystrophy | 18O2 Aged Rat Gracile NAD_149 - Copy
A small dystrophic terminal with synapses exhibiting synaptic vesicles and a postsynaptic density. (electron micrographs)
