Table of Contents



Washington University Experience | BASIC PROCESSES | Neuroaxonal dystrophy | 18P1 Aged Rat Gracile NAD_174 - Copy

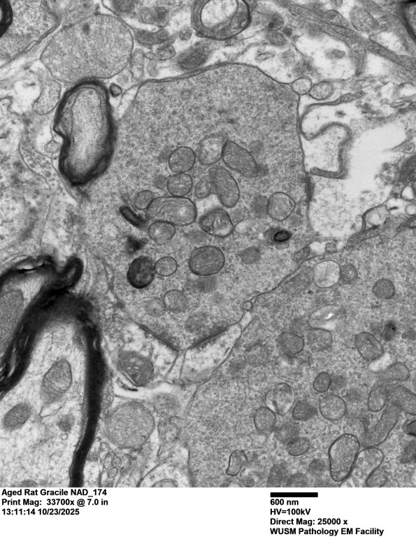
18P1 Aged Rat Gracile NAD_174 - Copy
18P1,2 A dystrophic element synapsing on two dendritic spines. (electron micrographs)


Gallery RSS RSS Feed | Archive View | Login | Powered by Zenphoto