Table of Contents
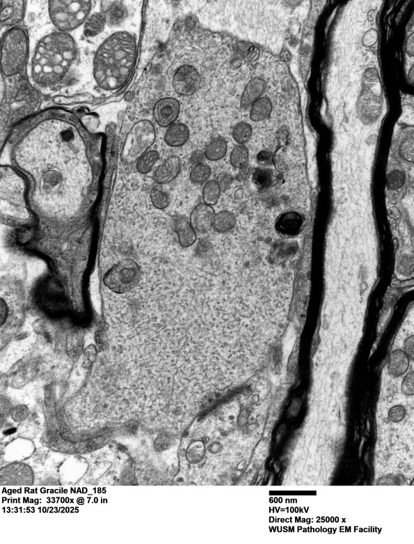
Washington University Experience | BASIC PROCESSES | Neuroaxonal dystrophy | 18Q1 Aged Rat Gracile NAD_185 - Copy
18Q1,2 A particularly photogenic dystrophic presynaptic axon containing tubulovesicular elements. (electron micrographs)
