Table of Contents
« prev
next »
Washington University Experience
|
BASIC PROCESSES
|
Neuronophagia
|
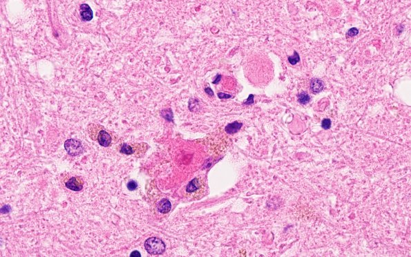
5E Neuronophagia (Case 5) no virus, likely Hypoxia N4 H&E 100X 2
Higher magnification image of a degenerating neuron undergoing neuronophagia (H&E)
Image Info
Camera Maker:
Olympus
Camera Model:
DP74
Shutter Speed:
3/100 sec
Metering Mode:
Average
Gallery RSS
|
Archive View
|
Login
|
Powered by
Zenphoto