Table of Contents
« prev
next »
Washington University Experience
|
BASIC PROCESSES
|
Neuronophagia
|
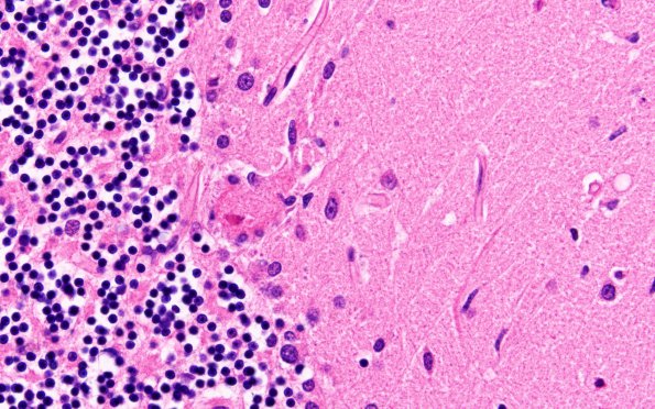
7C Hypoxia-Ischemia Neuronophagia (Case 7) H&E 7
A Purkinje cell is being engulfed by microglia (H&E)
Image Info
Camera Maker:
Olympus
Camera Model:
DP74
Shutter Speed:
21/2000 sec
Metering Mode:
Average
Gallery RSS
|
Archive View
|
Login
|
Powered by
Zenphoto