Table of Contents
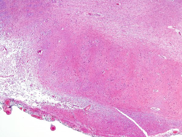
Washington University Experience | BASIC PROCESSES | Olivary Hyperplasia | 10C2 Infarcts, multiple, Olive HT (Case 12) H&E 1
10C2,3 The inferior aspect of the right ION (arrow, 10C1 and at higher magnification in 10C2) and the superior aspect of the right ION (arrowhead, 10C1 and in image #10C3) differ in the presence of enlarged multivacuolated neurons (H&E).
