Table of Contents
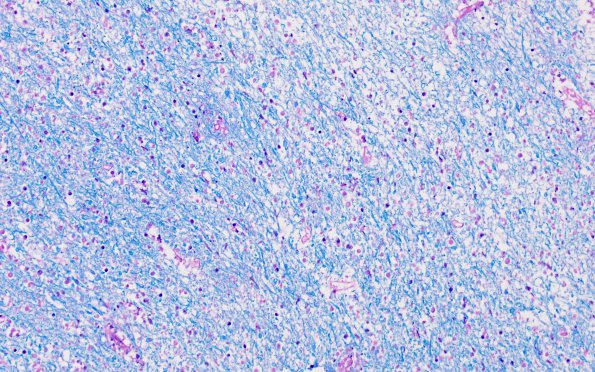
Washington University Experience | BASIC PROCESSES | Tract Degeneration | 11C5 Demyelination vs Wallerian Degeneration in CNS (Case 11) LFB-PAS 20X
Higher magnification (20X) of the area marked with a large arrowhead in image 11B1 stained for myelin (LFB-PAS)
