Table of Contents
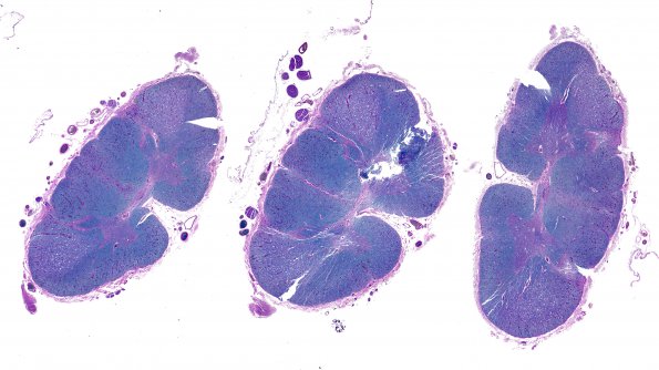
Washington University Experience | BASIC PROCESSES | Tract Degeneration | 7B Tract Degeneration (Case 2) LFB-PAS whole mount
This patient had a long history of severe spinal stenosis. Notice the prominent degeneration of bilateral corticospinal tracts stained for myelin (LFB-PAS).
