Table of Contents
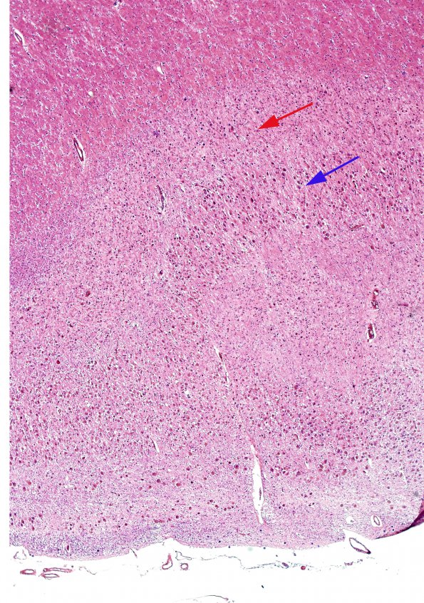
Washington University Experience | BASIC PROCESSES | Transneuronal Degeneration | 2A1 Transneuronal degeneration (LGN) (Case 2) layers 1-6 H&E
In this low magnification view of the LGN in this case, H&E stain demonstrates difference in size and numbers of neurons between layer 5 (blue arrow) and layer 6 (red arrow), which are innervated by different eyes and it is to be expected in a primarily unilateral involvement of one eye in this case.
